Bele zalivke
Bele zalivke so moderen estetski nadomestek izgubljene zobne substance. V naši ordinaciji ne izdelujemo več amalgamskih zalivk, temveč vse zalivke izdelamo iz kompozitnega materiala. Amalgamske zalivke odstranjujemo s pomočjo gumijaste opne in močnega sesalca, kar omogoča varno odstranjevanje amalgama. Te zalivke nato nadomestimo z belimi zalivkami.
Zakaj sploh rabimo zalivke („plombe“)?
Bele zalivke izdelamo takrat, ko je zob poškodovan le v manjši meri. Glavni vzrok izdelave zalivk je karies ali zobna gniloba, sledijo še drugi razlogi kot so obraba zob ali poškodbe. V preteklosti se je (v nekaterih ambulantah še danes) za izdelavo zalivk večinoma uporabljal amalgam (črne plombe). Amalgam je zmes živega srebra, srebra, cinka in bakra. V preteklosti je dobro služil in marsikdo ima kvalitetno izdelano amalgamsko zalivko v ustih še po petdeset ali več letih. Glavna prednost amalgama je, da ima sama zmes protimikrobno delovanje. Če je njegova površina primerno spolirana, se nanjo težko primejo bakterijske obloge. S samim materialom ki je že v ustih ni nič narobe, vendar smo se v naši ambulanti vseeno odločili proti njegovi uporabi.

Pri sami izdelavi amalgamskih zalivk se izloča nekaj živega srebra, kateremu pa smo v resnici najbolj izpostavljeni zobozdravniki in naše asistentke, ki se s tem srečujemo vsakodnevno. Nekaj živega srebra se v zrak izloča tudi ob odstranjevanju, zato se izogibamo odstranjevanju ustreznih zalivk, če pa jih že menjamo, to delamo s posebno gumijasto opno, ki jo napnemo preko zoba, da opilki amalgama ne letijo po vaših ustih. Pri odstranjevanju je treba nujno uporabljati še močni vakuumski sesalec.
Drugi razlog, da amalgamskih zalivk pri nas ne izdelujemo je ta, da je treba za obstojnost zalivke odstraniti več zoba, kot bi ga bilo potrebno v primerjavi z izdelavo bele zalivke. Amalgamsko zalivko v zobu namreč drži samo oblika preparacije, ki mora biti za amalgam določenih dimenzij. Bele zalivke pa se na zob prilepijo s posebnim zobozdravstvenim lepilom, kar nam omogoči, da iz zoba odstranimo samo bolno tkivo in tako ohranimo čim več zdrave zobne substance. Zobje, ki so oskrbljeni z obsežnimi amalgamskimi zalivkami, so namreč pogosto zelo oslabljeni.
Menjava amalgamskih zalivk
Menjave vseh amalgamskih zalivk z belimi zalivkami ne svetujemo, ker ustrezno izdelana amalgamska zalivka dobro izvaja svojo funkcijo. Svetujemo pa menjavo vseh amalgamskih zalivk, ki imajo slabo obrobno zaporo (ne tesnijo), imajo zobje ob njih karies ali pa so zobje ob zalivkah počeni, in vseh zlomljenih amalgamskih zalivk z belimi zalivkami ali keramičnimi nadomestki (onlay, prevleka). Velikokrat namreč srečujemo primere, ko se zaradi preobsežne amalgamske zalivke odlomi del, ali pa kar cela krona zoba. Ponavadi se to zgodi na mestih, ki jih je najtežje oskrbeti.
Pogosto je razlog za menjavo amalgamskih (črnih) zalivk z belimi zalivkami estetski. V teh primerih zalivke rade volje zamenjamo in pri tem upoštevamo pravila za varno odstranjevanje amalgamskih zalivk, pri izdelavi belih zalivk pa poskrbimo za ustrezno barvo in obliko.
Izdelava belih zalivk
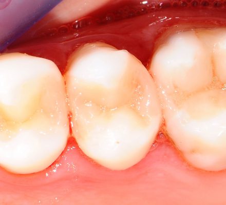
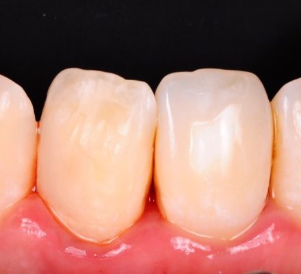
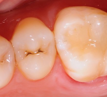
Za izdelavo zalivk v naši ordinaciji uporabljamo preverjene kompozitne (bele) materiale. Ti materiali se s pomočjo posebnega lepila (adheziv) prilepijo na zob, zato je potrebno odstraniti samo karies in minimalno količino zdravega zoba za njihovo izdelavo, saj se bela zalivka prilepi na zob, amalgamsko pa v zobu drži samo oblika preparacije.
Glavna prednost belih zalivk je torej ta, da odstranimo minimalno količino zoba (pri tem nam še dodatno pomaga dentalni mikroskop), da jih lahko oblikujemo v primerno obliko, ki posnema naravni zob in s tem omogoča optimalno funkcijo zoba, nenazadnje pa so tudi estetsko bistveno boljše kot amalgamske zalivke.
Med izdelavo kompozitne (bele plombe) zalivke se poslužujemo uporabe gumijaste opne (koferdam), ki jo napnemo prek zoba. Ta opna nam omogoča suhe in čiste pogoje (drži vsebino ust stran od zoba – jezik, slina, sapa) vam pa omogoča čista usta, saj ni neprijetnega brizganja in škropljenja po ustih.
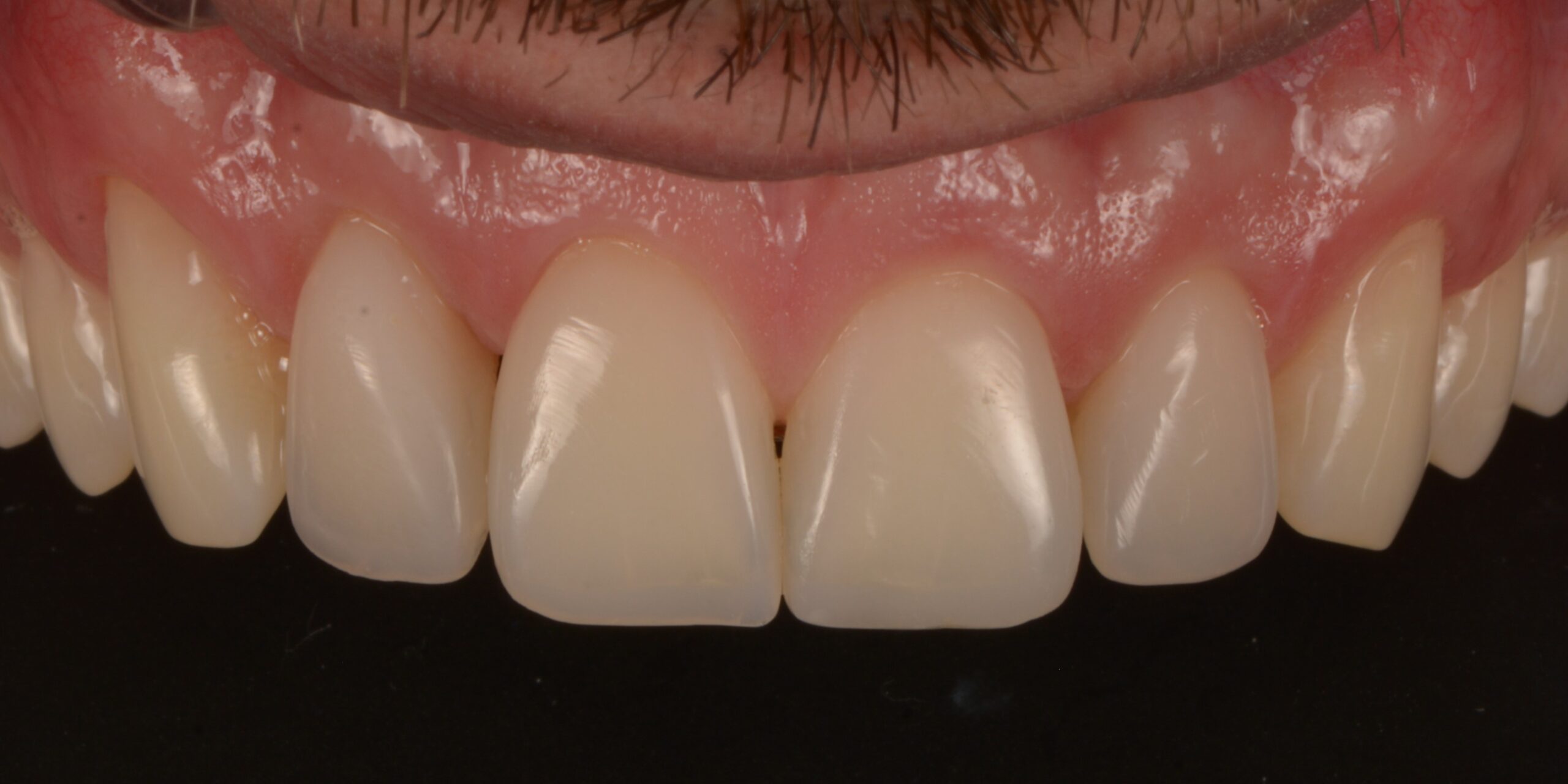
Primeri izdelave belih zalivk v naši ordinaciji
Kaj je dobro vedeti o belih zalivkah?
Bela zalivka v nasprotju z amalgamsko zalivko ne sme motiti pri ugrizu (je ravno prav visoka – ne previsoka, ne prenizka), mora biti primerne oblike (saj vodi nasprotni zob v pravilen položaj), tesna s sosednjim zobom (da se vam vmes ne zatika hrana), pri nitkanju se nikjer nitka ob zalivki ne sme zatakniti. V primeru, da se nitka zatika, se namreč tam zatikajo tudi hrana in bakterije, ki jih vi ne morete odstraniti, kar vodi na tem področju v parodontozo. Če opažate, da se vam nitka na kakšnem mestu zatika, se čimprej naročite na pregled in poseg, saj je takšno zalivko najverjetneje potrebno zamenjati ali popraviti.
Izdelava belih zalivk na sprednjih zobeh
Če morda pri izdelavi zalivk na zadnjih zobeh ni najbolj opazno, ali je prave barve ali ne, je na sprednjih zobeh to popolnoma drugače. Zaradi vedno boljših lastnosti materialov se da veliko manjkajoče strukture zoba nadomestiti kar s “plombo” in zoba velikokrat ni treba več obrusiti za prevleke.
Kjer dograditev ni možna svetujemo izdelavo zobnih prevlek ali zobnih lusk.
Skupaj bomo poskrbeli za zdravje in lep nasmeh!
Naročite se na pregled!




