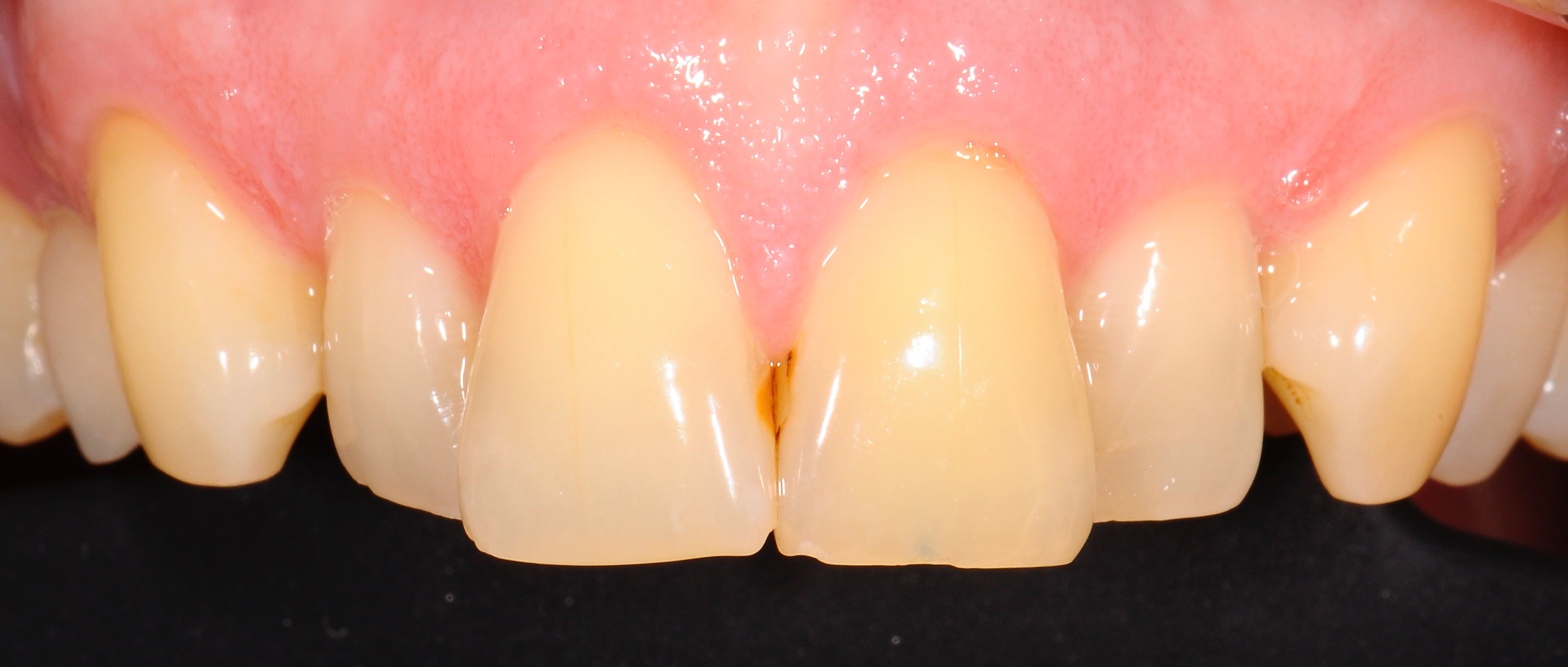
Beljenje zob – Ljubljana
Profesionalno beljenje zob v naši ordinaciji (v Ljubljani) največkrat opravljamo s po meri izdelanimi opornicami. To pomeni, da je beljenje vaših zob individualno prilagojeno vašim potrebam. Za točno oceno primernosti profesionalnega beljenja zob, pa je najbolje, da se dogovorite za brezplačen pregled.
Pri beljenju zob je pomembno, da v ustih ni prisotne bolezni. Kar pomeni, da je potrebno pred začetkom beljenja zob odstraniti ves karies in vnetja dlesni. Zato je nujen pregled pred začetkom terapije.
Ko ugotovimo, da je stanje vaših zob primerno za profesionalno beljenje, vzamemo odtise zob in po teh odtisih izdelamo individualne belilne opornice. S pomočjo teh opornic nato, najpogosteje ponoči, nanašate belilo na vaše zobe. V roku 1-3 tednov se zobje pobelijo za več odtenkov in držijo novo barvo tudi do več let, odvisno od uporabe hrane, pijač in drugih pregreh, ki so znane po močnih barvilih (rdeče vino, kava, curry, cigareti …). Belilne opornice vam ostanejo in jih lahko uporabljate tudi po nekaj letih za novo beljenje, v naši ordinaciji (v Ljubljani) se le oglasite po nova belilna sredstva.
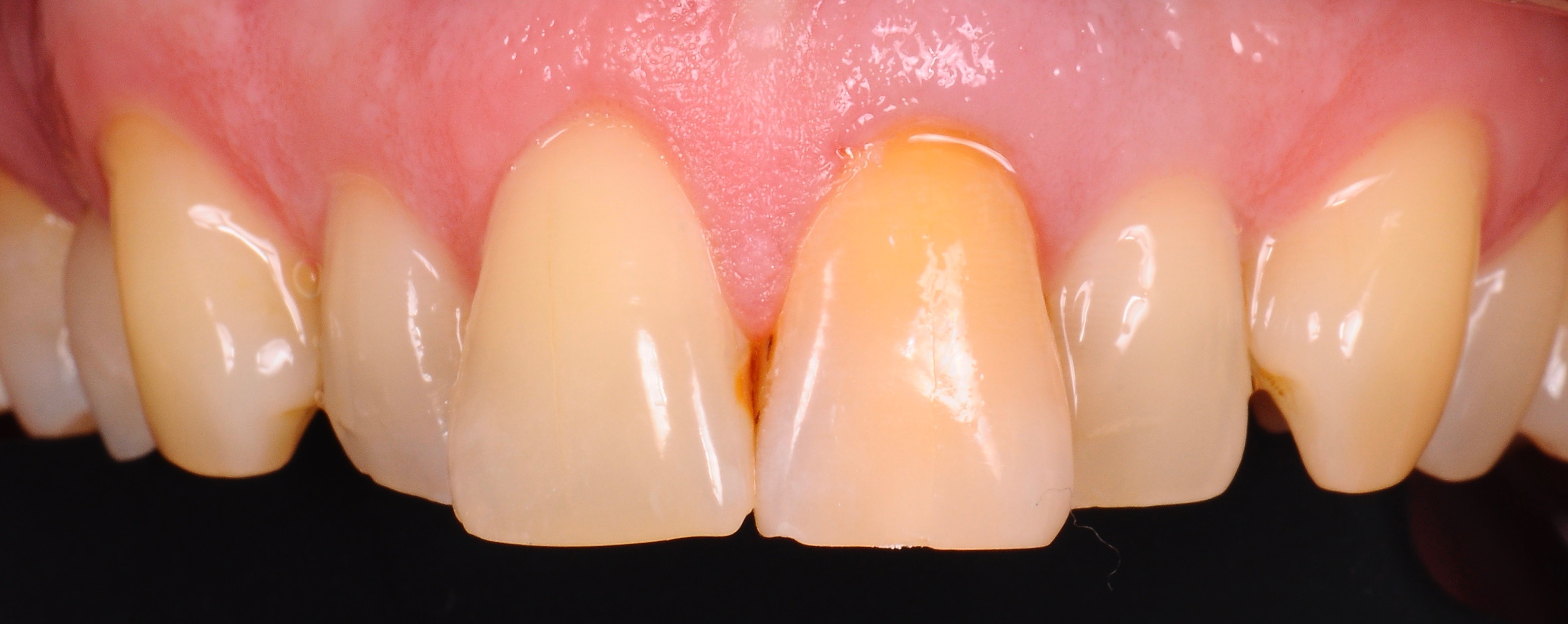
Beli pa se lahko tudi posamezen zabarvan zob. V teh primerih je nujno potrebno ugotoviti vzrok zabarvanja, ki najverjetneje leži v slabem endodontskem zdravljenju. Tako da je pogosto treba takšne zobe še enkrat endodontsko pozdraviti, preden lahko uspešno pobelimo takšen zob.
Skupaj bomo poskrbeli za zdravje in lep nasmeh!
Naročite se na pregled!
