Endodontsko zdravljenje zob in granulomov z mikroskopom
Endodontsko zdravljenje zob in granulomov je poseg pri katerem odstranimo iz zoba vnet ali odmrl „zobni živec“ ali zobno pulpo. Pri tem je pomembno ločiti zobe, ki še niso bili endodontsko zdravljeni od zob, na katerih je bil poseg pred tem že opravljen s strani drugega zobozdravnika. V slednjem primeru gre za ponovno endodontsko zdravljenje. Endodontsko zdravljenje zob je za zobozdravnika zahteven poseg za katerega je potrebno veliko treninga in posebne opreme. Najpomembnejši del te opreme je zobozdravniški mikroskop, ki nam omogoča veliko povečavo in s tem pogled globoko v korenine zoba. Še posebej pa je ta poseg otežen v primeru ponovnega endodotskega zdravljenja zob.
Za natančno oceno, ali se zob da pozdraviti ali ne, je potrebna rentgenska slika in natančen pregled v naši ordinaciji. Večinoma lahko že po prvem obisku ali najkasneje drugem obisku ocenimo, če bo zdravljenje uspešno oziroma ne. Naročite se na brezplačen pregled že danes, da lahko čimprej odpravimo vaše zobozdravstvene težave.
Seveda pa je priporočljivo zobe, ki so bili predhodno endodontsko zdravljeni ustrezno zaščititi, najboljše je, da se jih oskrbi s polnokeramičnimi prevlekami ali delnimi prevlekami.
Zakaj moramo zobe zdraviti?
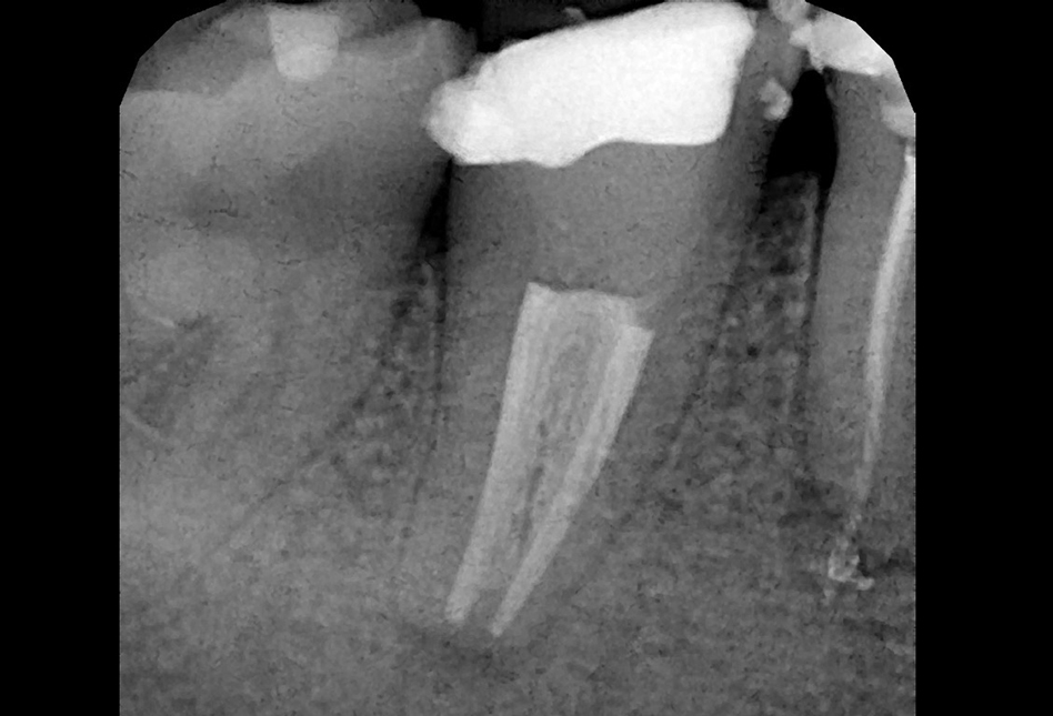
Zobe moramo zdraviti kadar pride do vnetja zobnega živca (pulpe) ali njegovega odmrtja (gangrena). Če kariesa ne odstranimo pravočasno, ta doseže zobni živec. To je lahko za vas popolnoma neboleče in brez težav, običajno pa se kaže s klasičnim zobobolom, ki se po moči lahko meri z najhujšimi telesnimi bolečinami. Zdravljenje zoba ponavadi zahteva več obiskov, ravno pri tem posegu pa je uporaba operativnega dentalnega mikroskopa najpomembnejša. Med zdravljenjem se poslužujemo tudi pomoči rentgenskih posnetkov, v zelo zahtevnih primerih pa tudi CBCT slikanja (cone-beam computed tomography – ali po slovensko – računalniška tomografija).
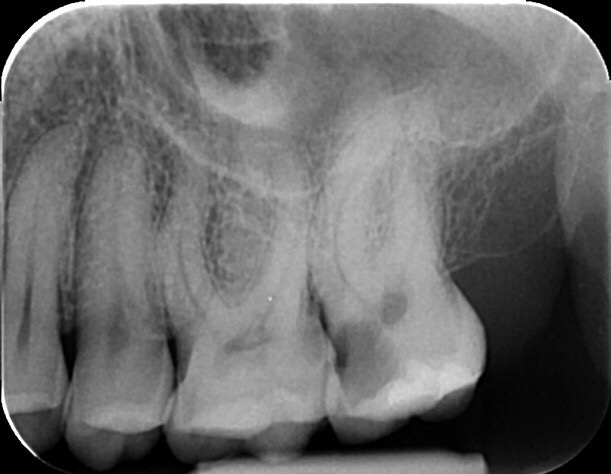
Kaj je granulom?
Granulom je kronično vnetje na koncu korenine zdravljenega ali gangrenoznega zoba. Vnetje povzročajo bakterije, ki so ostale v zobni korenini po zdravljenju. Skoraj 90% vseh granulomov ne povzroča bolečin. Zobozdravniki pa radi označujemo granulome z izrazom “tempirana bomba”. Granulom lahko namreč 10, 20 ali celo več let ne dela težav, počasi raste in topi kost, na enkrat pa izbruhne in vam začne delati ogromne težave. Glavne težave so bolečina, huda oteklina, vročina in splošno slabo počutje.Zato je nujno, da granulome opazimo pravočasno s pomočjo rentgenske diagnostike in jih skušamo s pomočjo endodontskega zdravljenja pozdraviti. Pogosto je ob izbruhu namreč edina rešitev odstranitev (puljenje) zoba.

Imam že nekaj zdravljenih zob – kaj storiti?
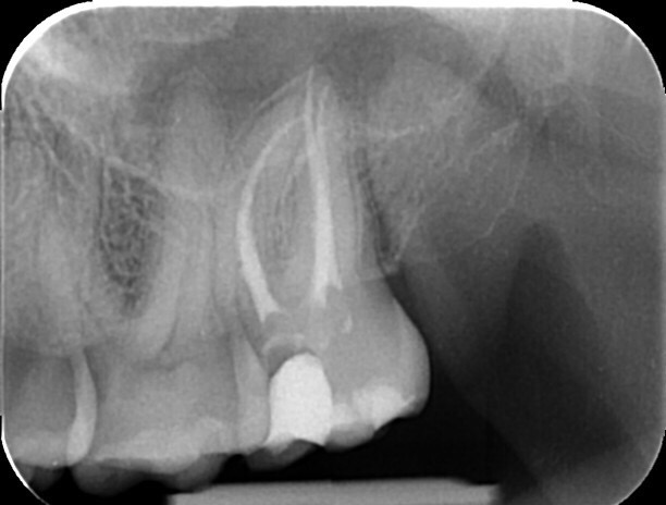
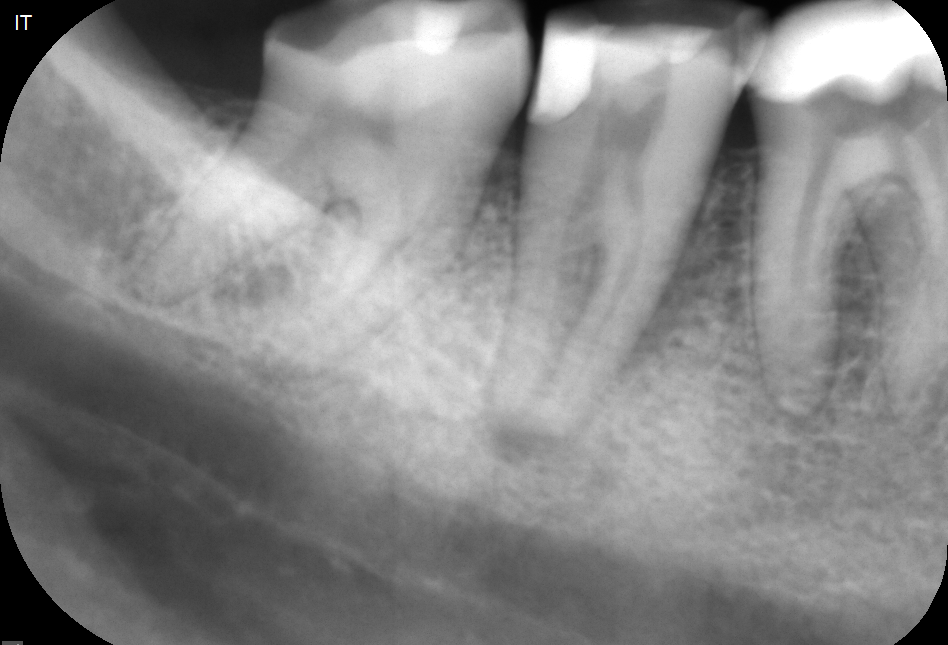
Mnogo ljudi ima enega ali več zdravljenih zob. Zdravljenje zob je, zaradi komplicirane anatomije (zgradbe) zob, zelo zahtevno. Zato je žalostna resnica, da je večina zob, ki je bila zdravljena pred več kot 10 leti, zdravljena slabo. Take zobe je potrebno rentgensko kontrolirati, in v primeru, da opazimo na koncu korenin kronične spremembe, tudi ponovno zdraviti. Ponovno endodontsko zdravljenje lahko vključuje tudi poseg apikotomije. Če zdravljenje iz določenih razlogov ni možno, ni uspešno, ali pa je napoved izida zelo slaba, svetujemo odstranitev zoba in nadomeščanje z zobnim vsadkom ali mostičkom.
Kljub prizadevanjem, da ob zdravljenju zoba odstranimo minimalno količino zoba, se ne moremo izogniti dejstvu, da je zdravljen zob močno oslabljen, saj je pogosto že pred tem oskrbljen z obsežnimi zalivkami. Zato svetujemo, da se endodontsko zdravljene zobe oskrbi s prevlekami, ali če je možno onlayi.
Skupaj bomo poskrbeli za zdravje in lep nasmeh!
Naročite se na pregled!
