Implantati, zobni vsadki
Implantat ali zobni vsadek je zobni nadomestek v obliki titanovega vijaka, ki ga v ustih dopolnimo s titansko nadgradnjo in keramično prevleko. Implantat ali zobni vsadek je trajna in varna rešitev za nadomeščanje manjkajočih zob. Najpogosteje se implantate uporablja za nadomeščanje enega zoba. Lahko jih uporabljamo tudi za nadomeščanje več zob, ali celo vseh manjkajočih zob v čeljusti (all on 4). Implantati so zelo dobra rešitev tudi za stabilizacijo zobnih protez, v primeru da vam zobna proteza ne omogoča normalne prehrane.
Že pri zobeh je pomembno vzdrževanje ustne higiene, pri implantatih pa je to še bistveno večjega pomena. Zaradi samega načina rasti zoba v kosti, je kost dlje časa odporna na parodontozo in se škoda ustvari v več desetletjih. V primeru periimplantitisa (vnetje dlesni ob implantatu) pa bolezen bistveno hitreje napreduje kot parodontoza. Tak implantat je lahko izgubljen v le nekaj letih. Je pa za paciente periimplantitis še manj opazen kot parodontoza, saj se implantat ne začne majati, dokler dejansko ne pade iz ust. Zato je pomembno, da se v primeru, da že imate kak zobni vsadek redno (vsake 3-6 mesecev) kontrolirate pri zobozdravniku, da se vnetje opazi in pozdravi v začetni fazi, saj je terapija zelo nepredvidljiva.
Nasmeh za vsakogar
Novi zobje v enem dnevu – takojšnja fiksna rešitev za celotno čeljust (all on 4)
All on 4 je fiksna implantatna rešitev za vsakogar
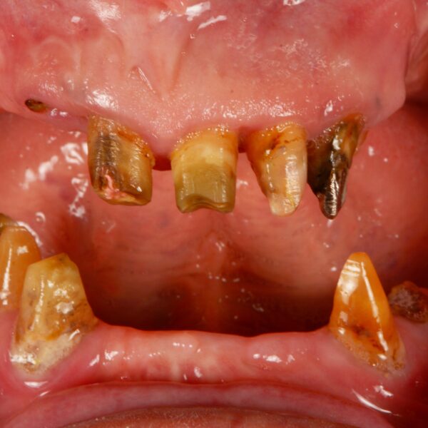
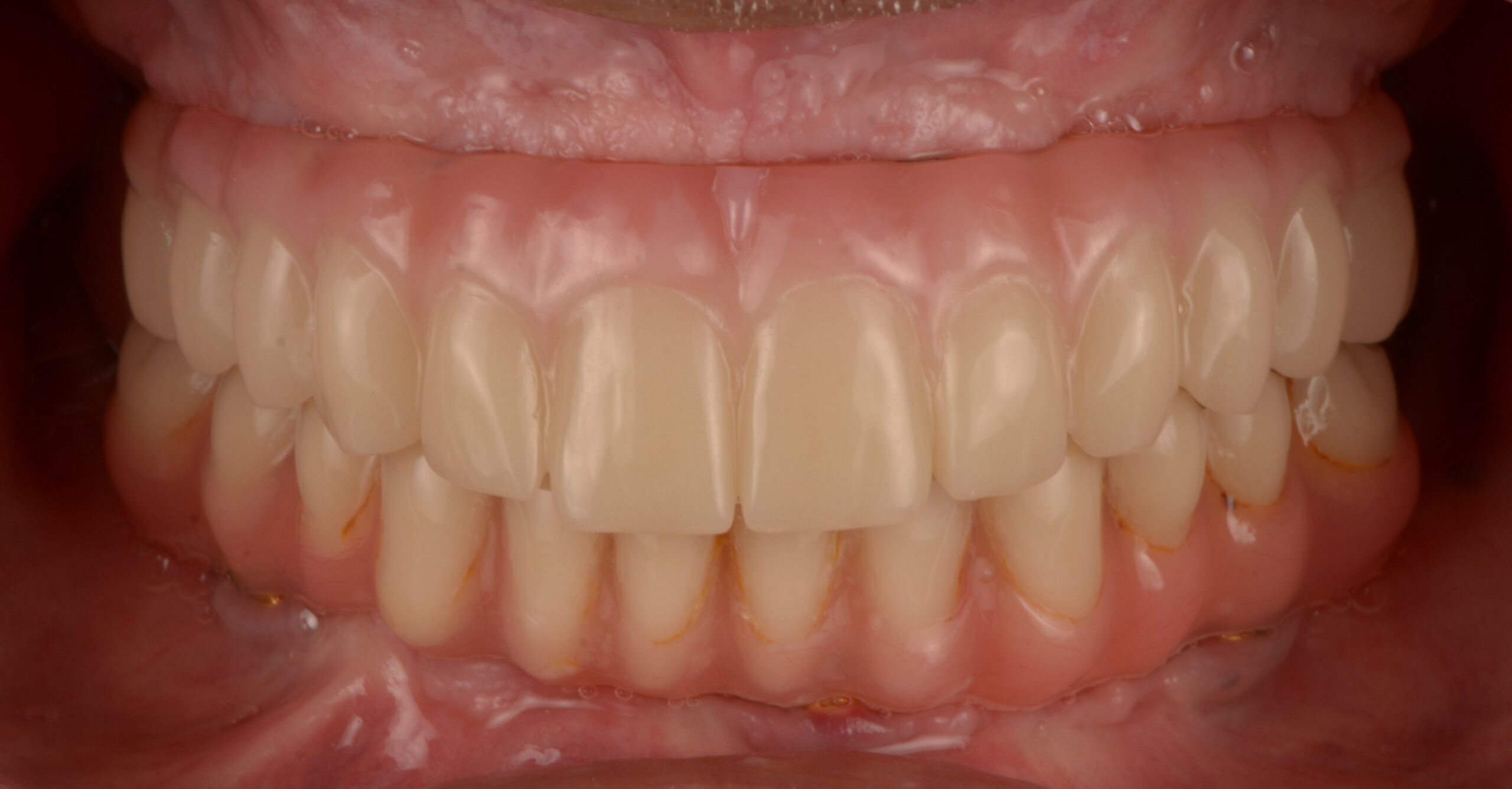
All on 4 je fiksna rešitev za nadomeščanje zob, pri kateri nadomestimo vse zobe v eni ali obeh čeljustih. Najpogosteje k nam pridejo stranke, ki niso zadovoljne s svojo totalno protezo, s svojmi propadajočimi fiksnimi mostički oziroma nasploh niso zadovoljne ne z izgledom ne s funkcijo svojih zob in njihovih nadomestkov. Z metodo All on 4 pa vam lahko še isti dan nadomestimo vse zobe, ki so nato fiksno pritrjeni na zobne vsadke. Na poseg ponavadi pridete v dopoldanskih urah, popoldan pa vam že namestimo nove zobe! Če potrebujete oskrbo obeh čeljusti z metodo All on 4 lahko oba posega naredimo istočasno!
Rešitev je primerna v vseh starostnih obdobjih, nujne pa so redne kontrole v naši ambulanti.
Rešitev je vrhunska tako v estetskem kot v funkcionalnem pogledu.
Če vas zanima, ali je All on 4 primerna za vas, se naročite na brezplačen pregled
Kako poteka vstavitev implantata – zobnega vsadka?
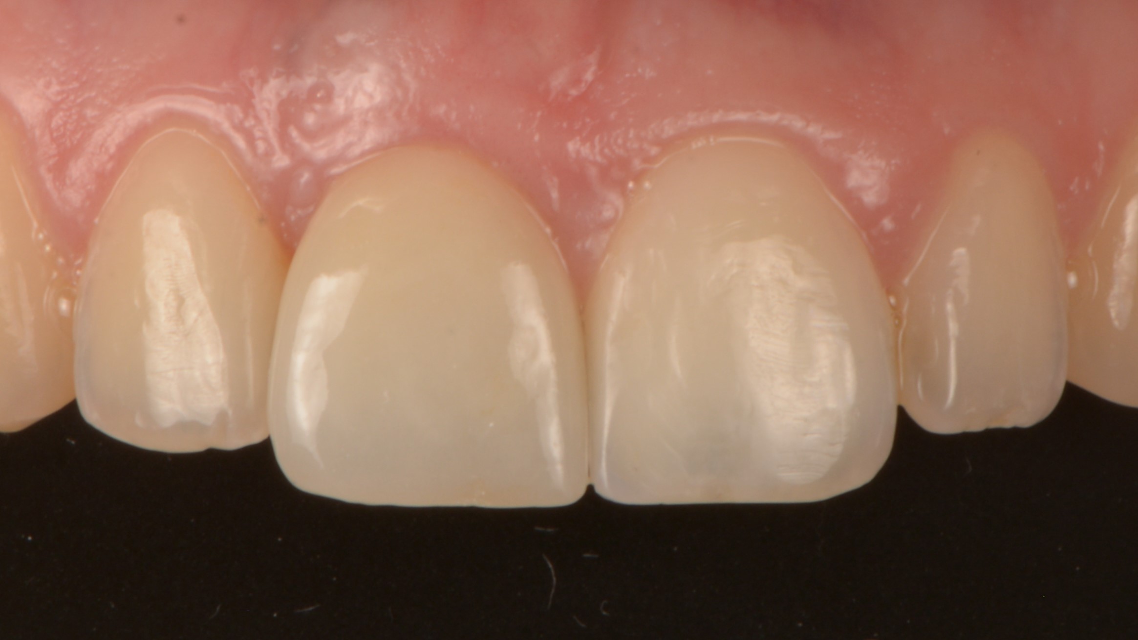
Vstavitev samega implantata/zobnega vsadka predstavlja manjši kirurški poseg, ki se ga opravi v lokalni anesteziji v naši ordinaciji (v Ljubljani) in je neboleč. Večina pacientov pravi, da je puljenje zoba manj prijeten poseg v primerjavi z vstavitvijo vsadka. Vsadek se po vstavitvi pokrije z dlesnijo, celilno kapico ali začasno prevleko. Nato ga pustimo 2-3 mesece, da se zaraste. V tem času se vsadek trdno zraste s kostjo. Ko je vsadek zraščen s kostjo je oskrba zelo podobna negi naravnega zoba. Pozicijo implantata odtisnemo, tehnik pa zanj izdela keramično prevleko, ki jo na implantat pritrdimo s pomočjo cementa in vijaka.
V primeru da potrebnih več implantatov – zobnih vsadkov za podporo proteze ali mostička, se lahko vsi vstavijo istočasno.

Potrebno je zamenjati prevleko na implantatu – zobnemu vsadku – kaj pa zdaj?
Menjava prevlek na implantatu v naši ordinaciji (v Ljubljani) poteka za pacienta podobno kot menjava prevleke na lastnem zobu, le da je na implantatih poseg običajno še hitrejši, saj ni treba “obrusiti zoba”. Pozicijo implantata se ponovno odtisne, tehnik pa izdela keramično prevleko.
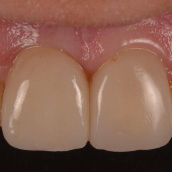
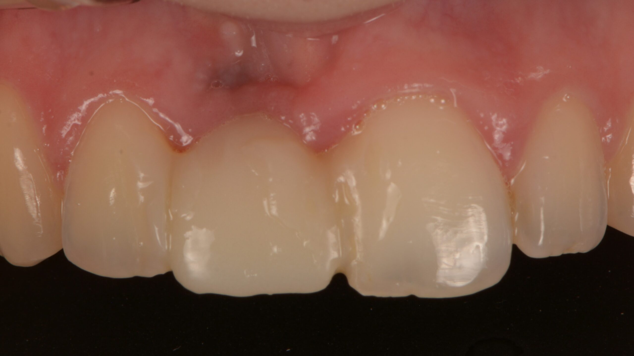
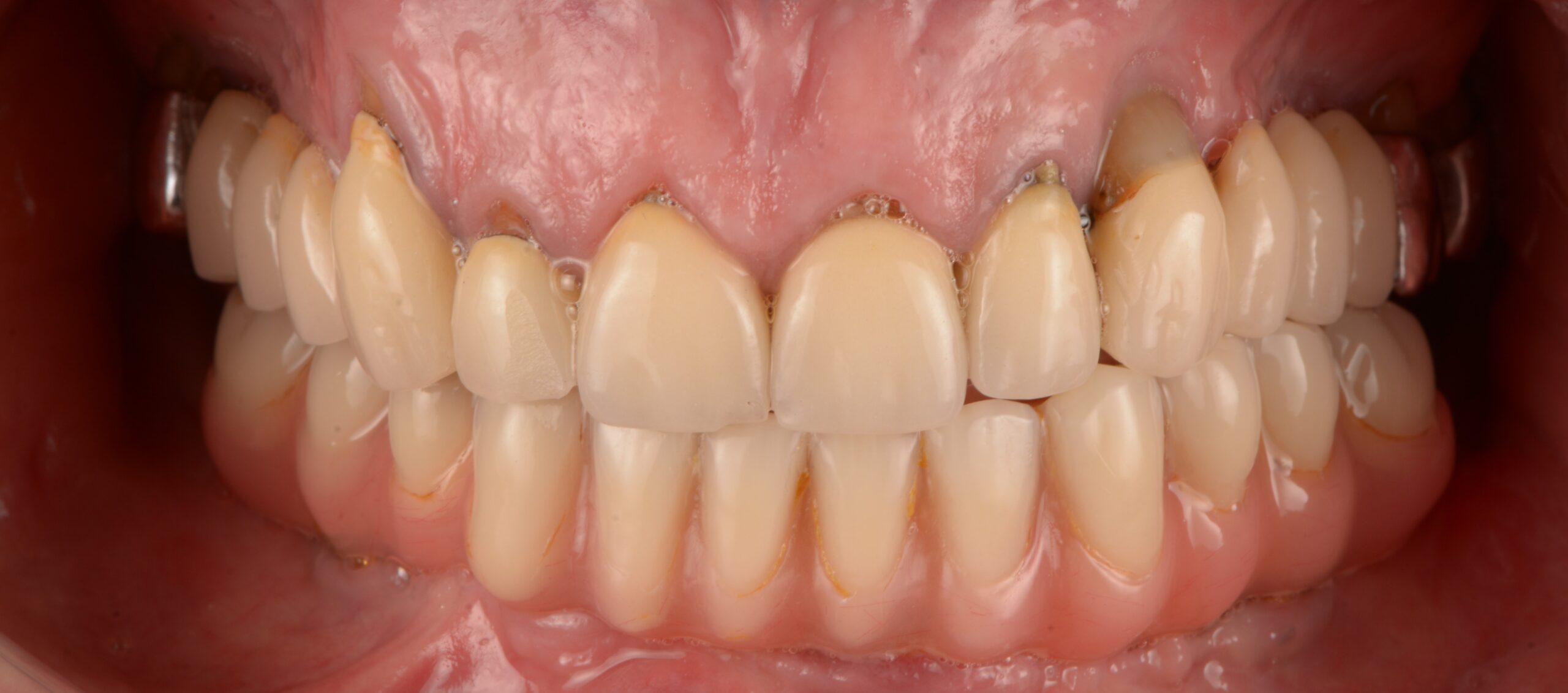
Galerija izdelkov podprtih z vsadki v naši ordinaciji
Skupaj bomo poskrbeli za zdravje in lep nasmeh!
Naročite se na pregled!










