Mikrokirurški posegi
Vse kirurške posege pri nas izvajamo na mikrokirurški način. Uporaba velikih povečav in manjših instrumentov nam omogočjo posege opraviti manj invazivno, s tem pa omogočimo hitrejše in boljše celjenje. Za vas je najpomembnejša bistveno manjša bolečina po posegu.
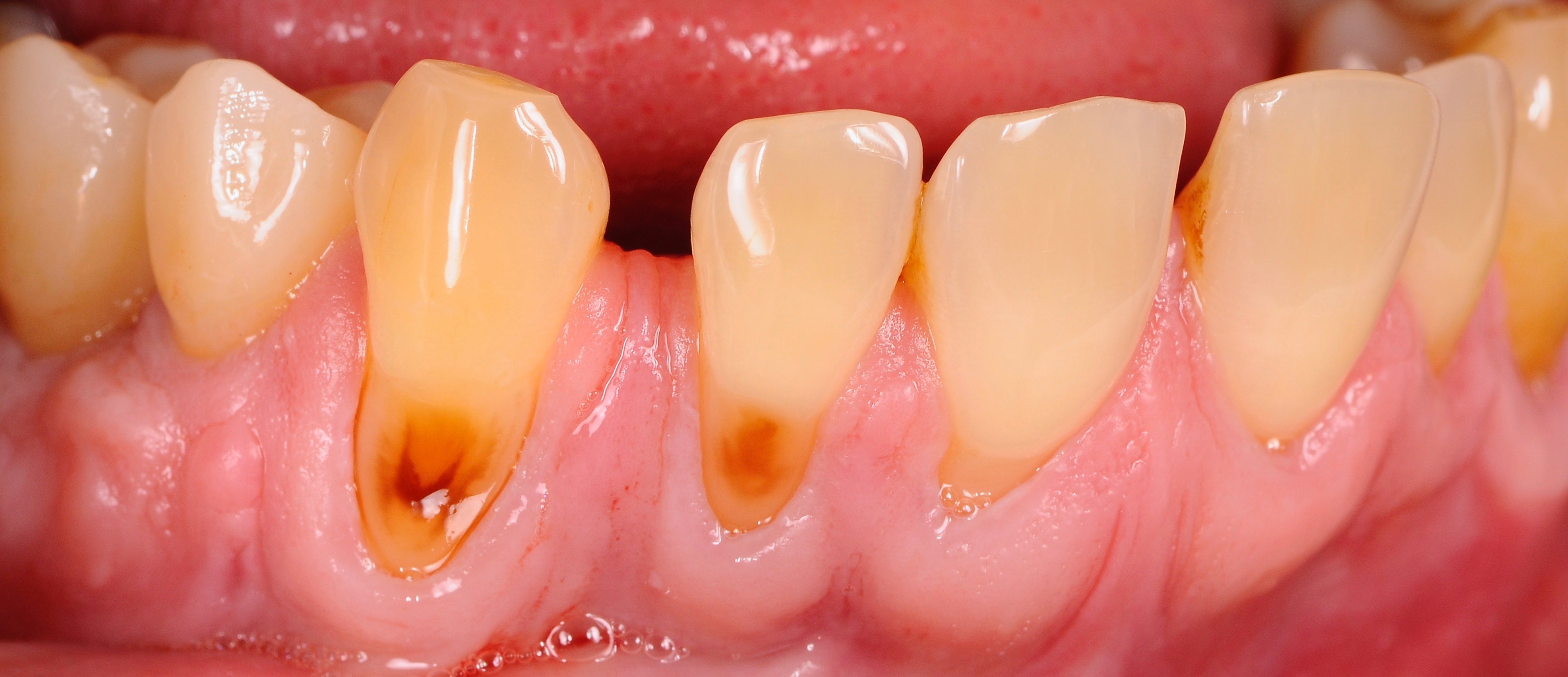
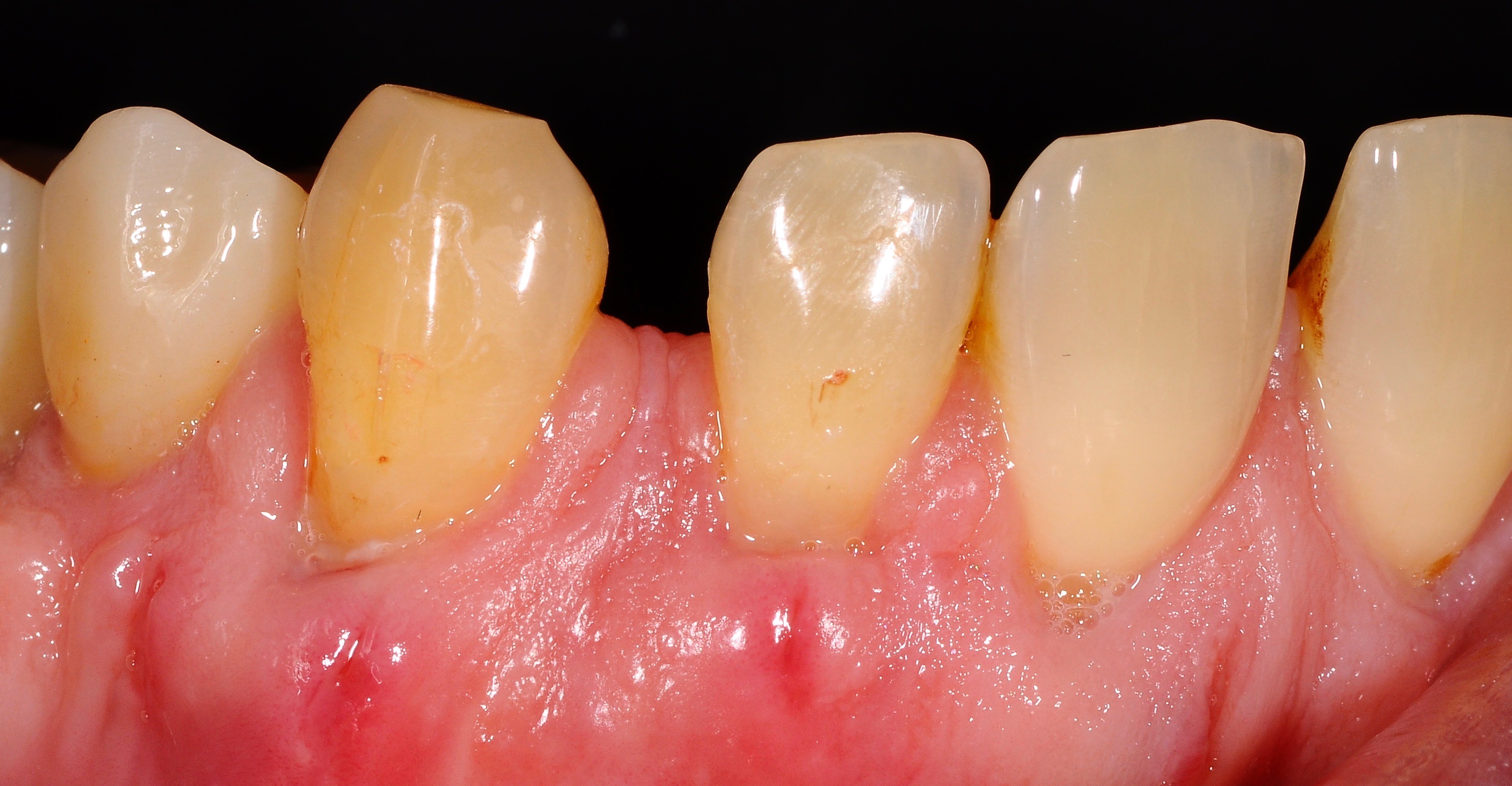
S kirurškimi posegi lahko izboljšamo tudi estetski rezultat. Primer je pokrivanje izpostavljenih zobnih korenin z dlesnijo, kot je vidno na slikah.
Vse posege opravljamo v lokalni anesteziji, zato so neboleči.
Vse ekstrakcije zob opravljamo z mislijo, da bo na tem mestu nekoč implantat. Zato je potrebno včasih kost ob ekstrakciji tudi dograditi z umetno kostjo. Vse takšne posege načrtujemo vnaprej in vas o njih pravočasno obvestimo.
Skupaj bomo poskrbeli za zdravje in lep nasmeh!
Naročite se na pregled!
