Nevidni ortodontski aparati
Nevidni ortodontski aparati so narejeni iz prozornih folij in so namenjeni korekciji nepravilnih položajev zob. So alternativa fiksnim zobnim aparatom (zvezdicam) in so primerni tako za manjše kot večje nepravilnosti. Nevidni ortodontski aparati so snemni aparati, kar pomeni, da jih lahko za pomembne dogodke ali nastope tudi odstranite, seveda pa je za njihovo učinkovitost pomembno, da jih nosite čim več časa.
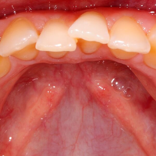
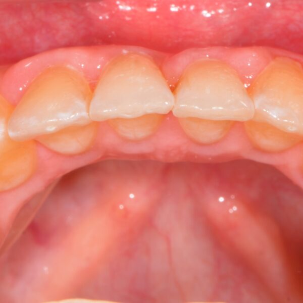
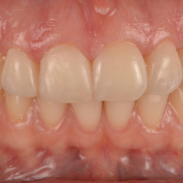
Z nevidnimi ortodontskimi aparati največkrat popravljamo tesno stanje med sprednjimi zobmi, ki je moteče iz estetskega in funkcionalnega vidika, saj je v primeru rotiranih zob oteženo tudi vzdrževanje ustne higiene, zelo pogosto pa se tesno stanje z leti samo slabša in lahko dolgotrajno vodi tudi v izgubo zob.
Pogosto nevidne ortodontske aparate priporočamo tudi za zmanjšanje špranj med zobmi, ali pred protetičnimi posegi, in s tem omogočimo čim manjšo izgubo zobne substance pri protetični oskrbi.

Zaradi snemljivosti nevidnega zobnega aparata je bistveno enostavnejše vzdrževanje ustrezne higiene (čiščenje je enako kot brez aparata), kot pri fiksnem zobnem aparatu (zvezdicah), kjer nam žička oteži primerno ščetkanje.
Za izdelavo nevidnega ortodontskega aparata je najprej potreben obisk v naši ordinaciji. Pred izdelavo je treba popraviti vse neustrezne zalivke in odstraniti ves karies. Šele ko so vaši zobje pripravljeni, naredimo digitalno analizo in izdelamo načrt zdravljenja. Tako vam lahko že pred začetkom ortodontske terapije prikažemo končno stanje na računalniškem monitorju. Na začetku terapije dobite označene vse prozorne opornice nevidnega ortodontskega aparata, ki jih potem sami zamenjate po približno 7-14 dneh uporabe.

Skupaj bomo poskrbeli za zdravje in lep nasmeh!
Naročite se na pregled!






