Zobni mostički, zobne prevleke
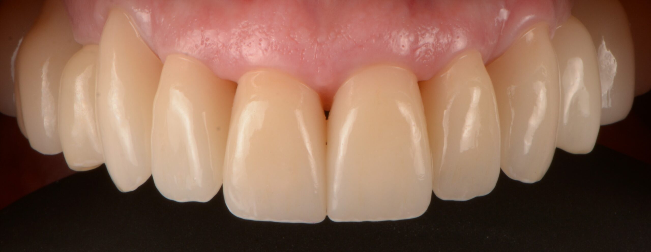
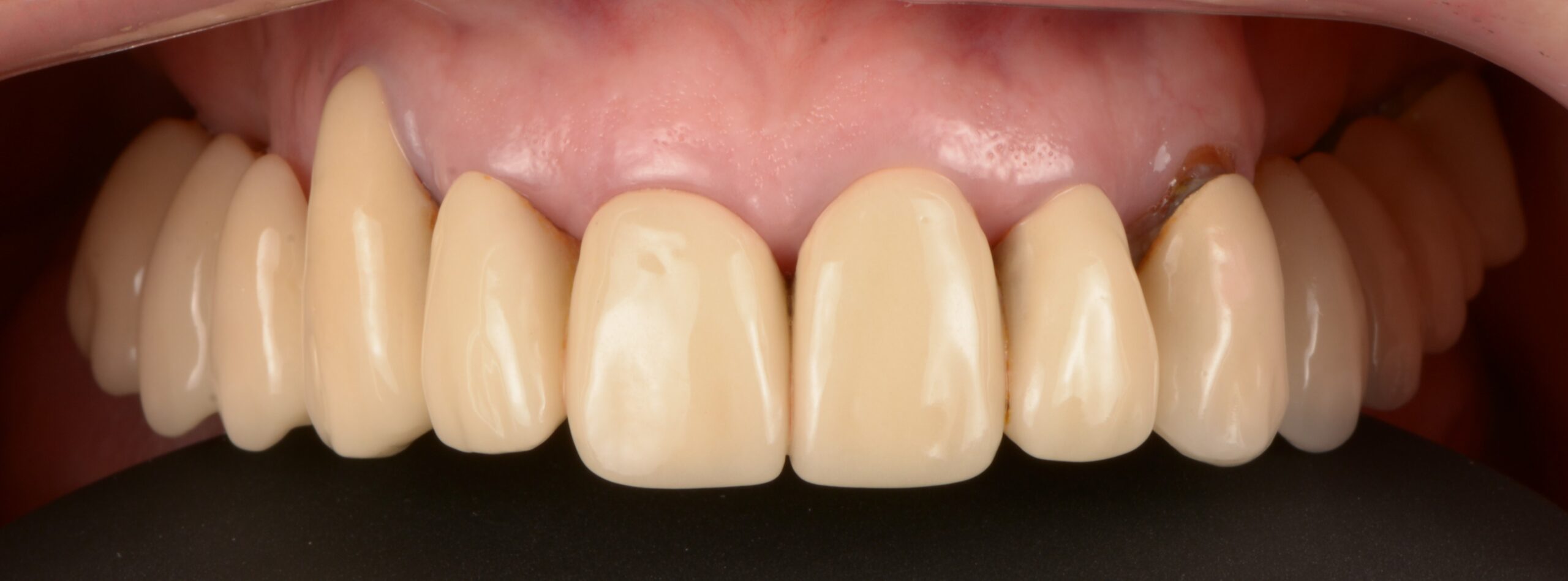
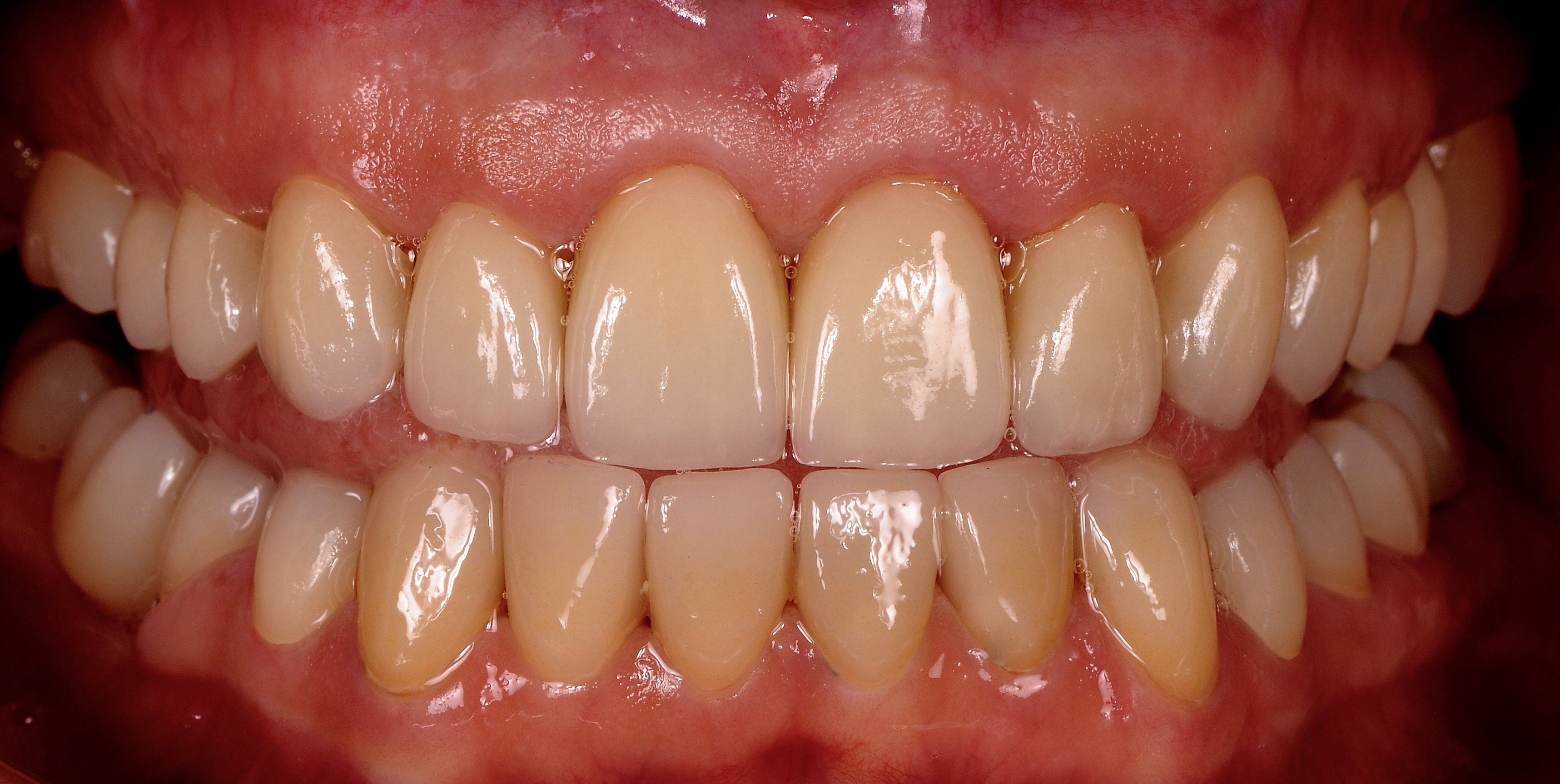
Kadar v ustih manjka več zob, ali pa so zobje že oskrbljeni z obsežnimi zalivkami, je potrebno njihovo nadomeščanje. Zobni mostički so primerni za nadomeščanje vsaj dveh manjkajočih zob. Če manjka samo en zob, je ponavadi bolj ustrezno nadomeščanje z zobnimi vsadki – implantati. Keramične zobne prevleke uporabljamo za nadomeščanje manjkajoče zobne snovi in z njimi dosežemo ponovno estetsko in funkcionalno vlogo zob. Keramični zobni mostički in zobne prevleke so dolgotrajna estetska rešitev, ki jo pri nas izdelamo z maksimalno možno natančnostjo, ravno zaradi uporabe zobozdravniškega mikroskopa.
Ker sledimo tudi najnovejšim tehnološkim trendom se vsa odtiskovanja za izdelavo mostičkov in prevlek v naši ordinaciji izvajajo v digitalni tehniki z intraoralnim skenerjem – izdelava je izjemno natančna in za paciente bistveno bolj prijazna.
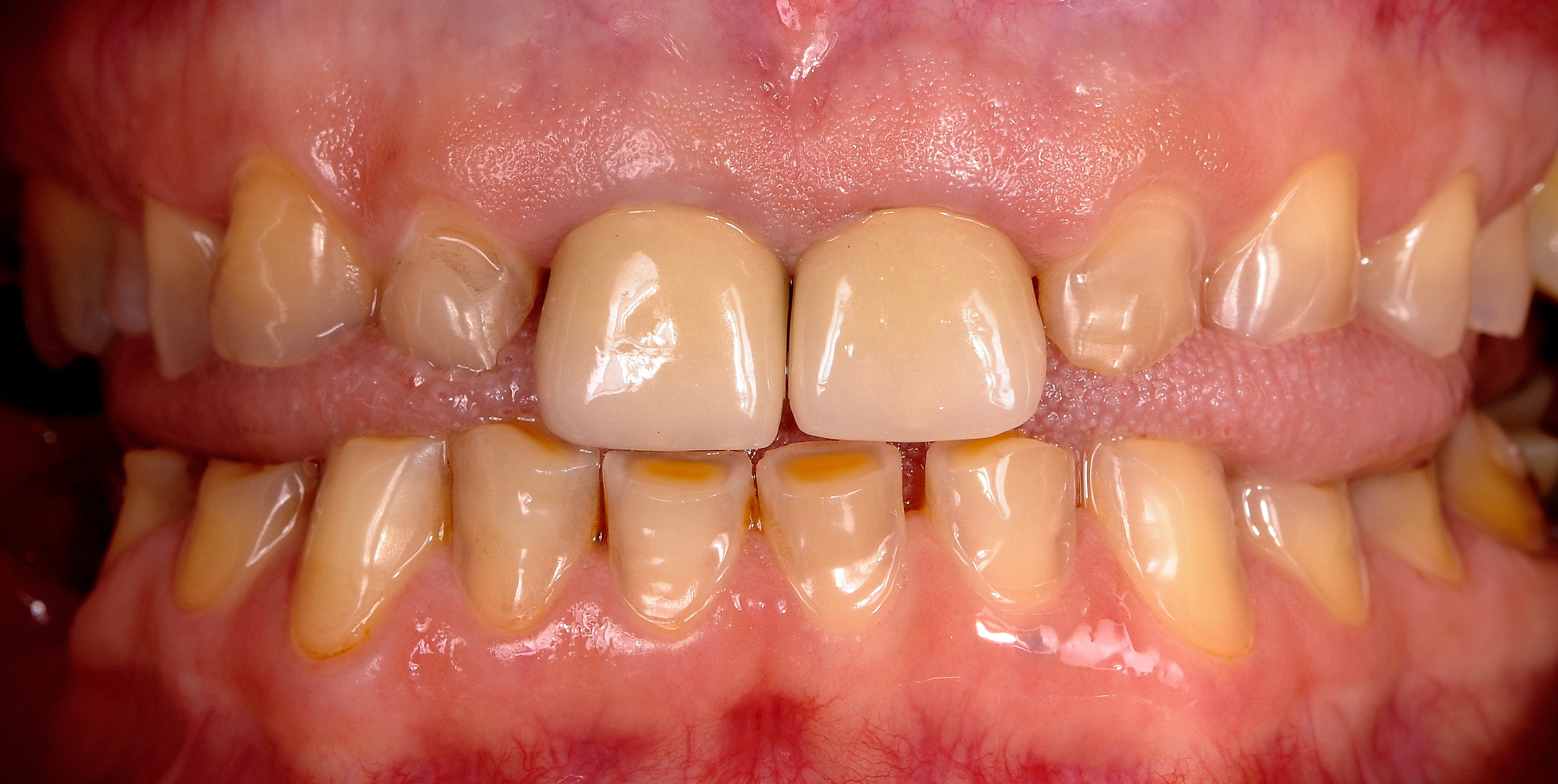
Če niste zadovoljni z izgledom vaših mostičkov, če se vam je odlomila keramika, če se vam pod mostički nabira hrana, potem smo mi pravi naslov za odpravljanje vaših težav. Pokličite ali pa se naročite prek spletnega obrazca na brezplačen pregled že danes!
Skupaj bomo poskrbeli za zdravje in lep nasmeh!
Naročite se na pregled!
